Introduzione
Il linfoma di Hodgkin è un tumore che si sviluppa nelle cellule del sistema immunitario, una complessa rete di funzioni e cellule del nostro organismo che è deputato al contrasto di infezioni ed altri disturbi.
Il sistema linfatico fa parte del sistema immunitario e comprende:
- Vasi linfatici. Il sistema linfatico è costituito da una rete di vasi linfatici, che si diramano e raggiungono tutti i tessuti dell’organismo.
- Linfa. Nei vasi linfatici circola un liquido trasparente detto linfa, che contiene globuli bianchi, per lo più linfociti B e T.
- Linfonodi. I vasi linfatici sono connessi a piccoli centri di tessuto, detti linfonodi. I linfonodi sono raggruppati nel collo, sotto le ascelle, nel torace, nell’addome e nella zona inguinale e, al loro interno, conservano i globuli bianchi. Servono per intrappolare ed eliminare i batteri o altre sostanze pericolose che eventualmente possono essere presenti nella linfa.
- Altri organi. Tra gli altri organi che fanno parte del sistema linfatico ricordiamo: le tonsille, il timo e la milza. Il tessuto linfatico si trova anche in altre parti del corpo, tra cui lo stomaco, la pelle e l’intestino tenue.

Linfonodi e vasi linfatici (iStock.com/Hank Grebe)
Il tessuto linfatico si trova quindi in diverse parti dell’organismo e questa è la ragione per cui purtroppo il linfoma di Hodgkin si può sviluppare praticamente dappertutto. Di solito ha origine in un linfonodo sopra il diaframma, il muscolo sottile che divide il torace e l’addome, ma si può sviluppare anche in un gruppo di linfonodi o, in alcuni casi, in altre parti del sistema linfatico.
Il sintomo più comune del linfoma di Hodgkin è la comparsa di un gonfiore al collo, all’ascella o all’inguine; il gonfiore, legato all’ingrossamento di un linfonodo, generalmente è indolore.
In alcuni casi possono comparire:
- sudorazioni notturne,
- perdita di peso inspiegabile,
- febbre,
- tosse persistente,
- mancanza di fiato (dispnea),
- prurito persistente e diffuso.
Per stimare correttamente le probabilità di sopravvivenza è necessario valutare alcuni aspetti del singolo paziente, come i sintomi manifestati e l’eventuale presenza contemporanea di altre malattie; anche l’età può essere determinante nell’efficacia delle cure, quando eccessivamente avanzata le probabilità di sopravvivenza diminuiscono.
In generale, comunque, il linfoma di Hodgkin è considerato come una malattia con ottime probabilità di sopravvivenza (oltre l’86% dei pazienti sopravvive a cinque anni dalla diagnosi).

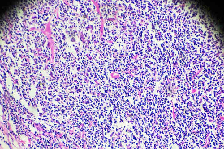
Immagine istopatologica del linfoma, al microscopio (iStock.com/jxfzsy)
Cause
Il linfoma di Hodgkin si sviluppa quando si manifesta un’anomalia in un linfocita (di solito un linfocita T), ossia una cellula appartenente al sistema immunitario.
La cellula anomala è detta cellula di Reed-Sternberg.
La cellula di Reed-Sternberg si divide e si replica; le nuove cellule si duplicano a loro volta, producendo sempre più cellule anomale che non muoiono come invece succede periodicamente a quelle sane. Le cellule anomale non solo non sono in grado di proteggere l’organismo dalle infezioni o dagli altri disturbi, ma addirittura si accumulano formando una massa di tessuto malato detta tumore.
Fattori di rischio
Solo raramente è possibile capire il motivo per cui il linfoma di Hodgkin colpisce certi pazienti e non altri; la ricerca, tuttavia, dimostra che determinati fattori di rischio fanno aumentare il rischio di ammalarsi di questo tumore.
Tra i fattori di rischio per il linfoma di Hodgkin ricordiamo:
- Virus. Se si è contratto il virus di Epstein-Barr (EBV, responsabile della mononucleosi) o il virus dell’immunodeficienza umana (HIV), il rischio di ammalarsi di linfoma di Hodgkin può aumentare. Il linfoma, tuttavia, non è contagioso, cioè non viene trasmesso da paziente a paziente.
- Indebolimento del sistema immunitario. Il rischio di soffrire di linfoma di Hodgkin può aumentare se il sistema immunitario è debole (ad esempio a causa di un disturbo ereditario o di determinati farmaci usati dopo un trapianto).
- Età. Il linfoma di Hodgkin si presenta con maggior frequenza tra gli adolescenti e gli adulti di età compresa tra i 15 e i 35 anni, e tra gli adulti di età superiore ai 55 anni.
- Famigliarità. I famigliari di un paziente con linfoma di Hodgkin, soprattutto i fratelli e le sorelle, possono correre un rischio maggiore di ammalarsi.
Avere uno o più fattori di rischio non significa necessariamente ammalarsi, al contrario la maggior parte dei pazienti che presentano fattori di rischio non sarà mai colpita da alcun tumore.
Sintomi
Il linfoma di Hodgkin può causare diversi sintomi:
- gonfiore (non doloroso) ai linfonodi del collo, delle ascelle o dell’inguine,
- aumento della sensibilità all’alcol oppure dolore ai linfonodi dopo aver bevuto,
- dimagrimento apparentemente inspiegabile,
- febbre che non diminuisce,
- intensa sudorazione notturna,
- prurito diffuso,
- tosse, problemi respiratori o dolore al torace,
- debolezza e stanchezza che non scompaiono nonostante il riposo.
Si noti che, nella maggior parte dei casi, questi sintomi non sono dovuti a un tumore, ma possono essere causati da infezioni o da altri disturbi.
Alcuni pazienti che sviluppano cellule malate a livello del midollo osseo possono manifestare:
- aumentato rischio di infezioni
- sanguinamento eccessivo (episodi di sangue dal naso, mestruazioni abbondanti, comparsa anomala di ematomi).
Se i sintomi durano per più di due settimane, è consigliabile rivolgersi al proprio medico per ottenere una diagnosi e una terapia.
Sopravvivenza
La percentuale di sopravvivenza a 10 anni dalla diagnosi nei pazienti pediatrici affetti da linfoma di Hodgkin è superiore al 90%, testimonianza degli enormi progressi degli ultimi anni; negli adulti si stima una sopravvivenza a 5 anni pari a circa
- 86% 45-54 anni
- 79% 55-64 anni
- 59% 65-74 anni
- 31% 75-99 anni
Diagnosi
In presenza di gonfiore ai linfonodi o di altri sintomi che potrebbero indicare un linfoma di Hodgkin, il medico cercherà di diagnosticare la causa del problema, probabilmente informandosi sui problemi di salute vostri e dei vostri famigliari.
Potrebbero essere prescritti i seguenti accertamenti:
- Visita. Il medico controllerà se ci sono linfonodi gonfi nel collo, sotto le ascelle e nella zona inguinale e se la milza o il fegato sono gonfi.
- Esami del sangue. Le analisi complete controllano il numero dei globuli bianchi, delle altre cellule ematiche (globuli rossi e piastrine) e delle altre sostanze presenti nel sangue.
- Radiografia toracica. Le radiografie possono evidenziare il gonfiore dei linfonodi o altri segni di problemi a livello toracico.
La biopsia rimane tuttavia l’unico metodo sicuro per diagnosticare il linfoma di Hodgkin.
Il medico può asportare un linfonodo
- interamente (biopsia escissionale),
- oppure solo in parte (biopsia incisionale).
Un ago molto sottile (tecnica detta dell’ago aspirato) di solito non è in grado di aspirare un campione sufficiente per elaborare la diagnosi patologica di linfoma di Hodgkin, quindi è necessario rimuovere l’intero linfonodo.
Il patologo userà poi il microscopio per controllare se nel tessuto sono presenti cellule tumorali. Nel campione dei pazienti malati di solito sono presenti cellule anomale, di dimensioni maggiori del normale, dette cellule di Reed-Sternberg, che non si trovano nei tessuti delle persone sane.
Cura e terapia
Il medico descriverà le opportunità terapeutiche e i risultati attesi, collaborando con il paziente per pianificare un piano di trattamento che possa andare incontro alle sue esigenze, per quanto possibile.
Il medico di base può indirizzarvi presso uno specialista, oppure potete essere voi stessi a richiedergli un consiglio riguardo lo specialista da consultare. Tra gli specialisti in grado di curare il linfoma di Hodgkin ricordiamo:
- ematologo,
- oncologo,
- radiologo.
La scelta della terapia dipende soprattutto da:
- tipo di linfoma di Hodgkin (la maggior parte dei pazienti è affetta da linfoma di Hodgkin classico),
- collocazione (zona in cui si trova il tumore),
- dimensioni del tumore eventualmente maggiori di 10 centimetri,
- età,
- eventuale presenza di sintomi come
- dimagrimento,
- sudorazione notturna intensa
- o febbre.
Chi soffre di linfoma di Hodgkin può essere curato con la chemioterapia, con la radioterapia o con una combinazione di entrambe.
Se il linfoma si ripresenta dopo la terapia, è detto tumore recidivante o ricorrente. Chi soffre di linfoma di Hodgkin recidivante dovrà ricorrere a una chemioterapia e/o a una radioterapia più aggressiva, e poi a un trapianto di cellule staminali:
- autologo (con cellule prelevate dallo stesso paziente),
- allogenico (con cellule provenienti da un donatore compatibile)
È consigliabile informarsi sugli effetti collaterali della chemioterapia e della radioterapia sulle normali attività quotidiane. La chemioterapia e la radioterapia, infatti, danneggiano spesso anche le cellule ed i tessuti sani, quindi gli effetti collaterali sono frequenti. Gli effetti collaterali possono essere diversi da paziente a paziente e possono cambiare anche da una sessione alla successiva. Prima dell’inizio della terapia l’équipe che vi segue vi spiegherà a quali effetti collaterali potete andare incontro e vi suggerirà come affrontarli: più il paziente è giovane, più ha facilità nell’affrontare la terapia e gli effetti collaterali.
Durante tutto il periodo di cura è in genere possibile usufruire della terapia di supporto, cioè di farmaci in grado di
- prevenire o combattere le infezioni,
- controllare il dolore e gli altri sintomi,
- alleviare gli effetti collaterali della terapia contro il tumore
- aiutare ad affrontare gli aspetti psicologici della diagnosi di tumore.
Prima di iniziare la terapia, vi consigliamo di rivolgere queste domande al vostro medico:
- Di che tipo è il mio linfoma di Hodgkin? Posso avere una copia del referto del patologo?
- In quale stadio è il mio tumore? Dove si trova?
- Quali terapie mi si prospettano? Quale mi consiglia? Perché?
- Dovrò sottopormi a diversi tipi di terapia?
- Quali risultati posso aspettarmi da ciascun tipo di terapia?
- Quali sono i rischi e i possibili effetti collaterali di ciascuna terapia? Che cosa possiamo fare per tenerli sotto controllo?
- Per quanto tempo durerà la terapia?
- Che cosa devo fare per prepararmi?
- Sarà necessario il ricovero in ospedale? Se sì, per quanto tempo?
- Gli esami e la terapia sono mutuabili?
- Quali ricadute avrò nella mia vita di tutti i giorni?
- Con quale frequenza dovrò effettuare controlli una volta terminata la terapia?
Chemioterapia
La chemioterapia contro il linfoma di Hodgkin usa particolari farmaci in grado di uccidere le cellule del linfoma. È detta terapia sistemica, perché i farmaci devono entrare in circolo per poter raggiungere le cellule tumorali in quasi tutte le parti dell’organismo.
Di solito i farmaci somministrati sono più di uno e la maggior parte di essi è somministrata per endovena, mentre alcuni sono assunti per via orale.
La chemioterapia viene somministrata in diversi cicli, dopo ciascun ciclo occorre osservare un periodo di riposo. La lunghezza del periodo di riposo e il numero di cicli dipendono dallo stadio in cui si trova il linfoma e dai tipi di farmaci usati.
È possibile sottoporsi alla chemioterapia
- in ospedale (per alcuni pazienti in regime di ricovero),
- nello studio del medico curante
- o a casa.
Gli effetti collaterali dipendono principalmente dal tipo e dalla dose dei farmaci somministrati: i chemioterapici, infatti, sono in grado di danneggiare non solo le cellule malate, ma anche quelle sane che si dividono rapidamente, per esempio:
- Cellule del sangue: la chemioterapia distrugge molte cellule sane del sangue, quindi si corre un maggior rischio di contrarre infezioni, di procurarsi lividi o di iniziare a sanguinare con facilità; inoltre ci si sente molto deboli e stanchi. L’équipe che vi segue vi farà fare le analisi del sangue per controllare se ci sono cellule sane in numero sufficiente. Se sono poche, esistono farmaci in grado di aiutare l’organismo a produrne di nuove.
- Cellule dei bulbi piliferi. La chemioterapia può causare la caduta dei capelli. I capelli ricresceranno dopo la fine della terapia, ma la loro consistenza e il loro colore potrebbero essere leggermente diversi.
- Cellule della mucosa dell’apparato digerente. La chemioterapia può causare perdita dell’appetito, nausea, vomito, diarrea e ulcere alla bocca e alle labbra. Chiedete consiglio all’équipe che vi segue sulle terapie in grado di aiutarvi a superare questi problemi.
Alcuni tipi di chemioterapia possono causare la sterilità:
- Uomini. La chemioterapia può danneggiare gli spermatozoi, anche in modo permanente. Alcuni uomini, quindi, decidono di congelare il proprio sperma prima della terapia (banca del seme).
- Donne. La chemioterapia può danneggiare le ovaie. Le donne che desiderano diventare madri dovrebbero informarsi prima dell’inizio della terapia presso l’équipe che le segue sulle modalità di conservazione degli ovuli.
Alcuni farmaci che combattono il linfoma di Hodgkin potrebbero causare disturbi cardiaci o altri tumori in un secondo momento, per queste ragioni verranno pianificati controlli periodici dopo la fine della terapia.
Prima di iniziare la chemioterapia vi consigliamo di rivolgere le domande seguenti al vostro medico:
- Quali farmaci mi saranno somministrati? Quali effetti positivi possiamo aspettarci?
- Quando inizierà la terapia? Quando finirà? Con che frequenza si svolgerà?
- Dove dovrò recarmi? Sarò in grado di guidare, una volta terminata la sessione?
- Che cosa posso fare per affrontare meglio la terapia?
- Come si fa a capire se la terapia è efficace?
- Per quali effetti collaterali dovrò avvisarvi? Posso prevenirne o curarne alcuni?
- Ci saranno effetti collaterali permanenti?
Radioterapia
La radioterapia per il linfoma di Hodgkin usa radiazioni ad alta energia per uccidere le cellule del linfoma; è in grado di diminuire le dimensioni dei tumori e di contribuire alla prevenzione del dolore.
Durante la radioterapia la macchina che emette le radiazioni viene puntata direttamente verso i linfonodi e le zone colpite dal linfoma. Si tratta di una terapia locale, perché è mirata unicamente alle cellule della zona da curare. La maggior parte dei pazienti deve recarsi in ospedale o in clinica cinque giorni alla settimana per diverse settimane.
Gli effetti collaterali della radioterapia dipendono soprattutto dalla dose di radiazioni e dalla parte del corpo da curare, ad esempio le radiazioni dirette contro l’addome possono causare nausea, vomito e diarrea, mentre quelle dirette verso il collo e il torace possono provocare secchezza alla gola, mal di gola e problemi di deglutizione.
La pelle della zona trattata può
- arrossarsi,
- diventare secca
- e fragile;
nella zona colpita dalle radiazioni si possono anche perdere i peli o i capelli.
Molti pazienti, durante la radioterapia, lamentano una profonda stanchezza, soprattutto nelle ultime settimane di terapia. Il riposo è importante, ma i medici normalmente consigliano di mantenere una vita il più attiva possibile.
Gli effetti collaterali della radioterapia possono essere difficili da affrontare, ma di solito è possibile curarli o tenerli sotto controllo. Ricordate che il medico è vostra disposizione e può suggerirvi i modi migliori per alleviarli.
Può anche essere utile sapere che, nella maggior parte dei casi, gli effetti collaterali non sono permanenti, tuttavia vi consigliamo di informarvi presso il vostro medico sui possibili effetti di lungo periodo. Dopo la fine della terapia, ad esempio, potreste avere una maggior probabilità che il tumore recidivi, inoltre la radioterapia nella zona toracica potrebbe causare disturbi cardiaci o danni ai polmoni.
La radioterapia nella zona pelvica può causare sterilità, temporanea o permanente, a seconda della vostra età:
- Uomini. Se le radiazioni sono concentrate nella zona pelvica, i testicoli possono subire danni. Ricorrere alla banca del seme prima della terapia può essere una possibilità da valutare.
- Donne. Le radiazioni dirette nella zona pelvica possono danneggiare le ovaie. Il ciclo mestruale può interrompersi e si può iniziare a soffrire di vampate di calore e secchezza vaginale. Se la paziente è giovane, il ciclo mestruale ha maggiori probabilità di ripresentarsi. Chi desidera diventare madre, dovrà informarsi presso l’équipe curante sui modalità di conservazione degli ovuli prima dell’inizio della terapia.
Prima della radioterapia, vi consigliamo di rivolgere le domande seguenti al vostro medico:
- Perché devo sottopormi alla radioterapia?
- Quando dovrò iniziare? Quando terminerà?
- Come mi sentirò durante la terapia?
- Come si può capire se la terapia sta funzionando?
- Ci sono effetti collaterali permanenti?
Trapianto di cellule staminali
Se il linfoma di Hodgkin si ripresenta dopo la terapia, è possibile ricevere un trapianto di cellule staminali. Il trapianto di cellule staminali ematopoietiche (trapianto di cellule staminali autologhe) vi permetterà di sottoporvi a una chemioterapia e/o a una radioterapia più aggressiva. Le dosi maggiori distruggeranno sia le cellule del linfoma di Hodgkin sia le cellule sane presenti nel midollo osseo.
I trapianti di cellule staminali si svolgono in ospedale, prima di sottoporvi a una terapia aggressiva vengono espiantate le cellule staminali, che possono essere curate per eliminare eventuali cellule tumorali presenti tra di esse. Le cellule staminali vengono congelate e conservate. Dopo la terapia aggressiva che ucciderà le cellule del linfoma di Hodgkin, le cellule staminali sono scongelate e reimpiantate usando un tubicino flessibile inserito in una delle vene maggiori del collo o del torace. Nuove cellule staminali si formano a partire da quelle trapiantate.
Prima del trapianto di cellule staminali, vi consigliamo di rivolgere le domande seguenti al vostro medico:
- Quali sono i rischi e i benefici del trapianto di cellule staminali?
- Quanto durerà il ricovero in ospedale? Dovrò seguire anche una terapia di supporto? Come potrò proteggermi dai germi?
- Come posso alleviare gli effetti collaterali?
- Quali effetti avrà il trapianto di cellule staminali sulla mia vita quotidiana?
- Quali sono le probabilità di guarigione completa?
Dieta, attività fisica e follow-up
È fondamentale prendersi cura di se stessi, attraverso un’alimentazione sana e cercando di mantenersi il più attivi possibile.
Per mantenere un peso corretto è necessario assumere la giusta quantità di calorie, è anche importante assumere proteine a sufficienza per salvaguardare la propria forza. Mangiare bene vi aiuterà a sentirvi meglio e ad avere maggiori energie.
In alcuni casi, soprattutto durante la terapia o nelle fasi immediatamente successive, potreste non aver voglia di mangiare, perché vi sentite stanchi o avete la nausea. Probabilmente avrete la sensazione che gli alimenti abbiano un gusto diverso dal solito; inoltre gli effetti collaterali della terapia (ad esempio la mancanza di appetito, la nausea, il vomito o le ulcere in bocca) potranno impedirvi di mangiare bene. Il medico, il dietologo o altri componenti dell’équipe che vi segue possono suggerirvi i modi migliori per affrontare questi problemi.
Molte persone affermano di sentirsi meglio se riescono a mantenersi attive: camminare, fare yoga, nuotare o fare altre attività vi aiuteranno a salvaguardare la forza e ad aumentare le energie. Con l’esercizio fisico si può diminuire la nausea e il dolore e si può sopportare meglio la terapia e lo stress. Prima di iniziare una qualsiasi attività fisica, ricordatevi di chiedere il parere del medico; inoltre, se l’attività causa dolore o altri problemi, informate immediatamente il medico o l’infermiere.
Follow-up
Dopo la fine della terapia, vi consigliamo di rivolgere le domande seguenti al vostro medico:
- Con quale periodicità dovrò effettuare controlli?
- Quali esami di controllo mi consiglia?
- Tra un esame e il successivo, a quali problemi o sintomi devo prestare particolare attenzione, informandola?
Dopo la terapia per il linfoma di Hodgkin sarà necessario sottoporsi a controlli periodici. Anche se i sintomi del tumore sono scomparsi, infatti, il tumore può recidivare, perché la terapia può non aver eliminato alcune cellule tumorali in qualche zona dell’organismo.
I controlli periodici, inoltre, possono individuare i problemi derivanti dalla terapia contro il tumore.
Chi ha combattuto il linfoma di Hodgkin corre maggiori rischi di soffrire di
- disturbi cardiaci,
- leucemia,
- melanoma,
- linfoma non Hodgkin,
- tumore
I controlli servono per non trascurare i cambiamenti dello stato di salute e per curarli se ci sono problemi. Tra i controlli necessari ricordiamo:
- visite mediche,
- esami del sangue,
- radiografie toraciche,
- TAC ed altri esami.
Dopo la terapia ai pazienti possono essere somministrati il vaccino antinfluenzale e altri vaccini. È necessario discutere con l’équipe medica la necessità di somministrazione di determinati vaccini.
Se tra un controllo e l’altro si presentano dei problemi di salute, è opportuno contattare immediatamente il medico.
Fonte principale:
Le domande più frequenti
Cos'è un linfoma?
Cos'è il linfoma di Hodgkin?
Quanto si vive?
Quali sono i sintomi? Come ci si accorge del tumore?
Com'è il prurito da linfoma?
I linfonodi possono rimanere gonfi per sempre?
Cosa significa avere linfonodi reattivi che non si sgonfiano?
Quali possono essere le cause di una pallina dura sull'osso dietro l'orecchio?
È normale che i linfonodi reattivi restino palpabili per anni?
Un linfonodo ingrossato è sempre rappresentativo di una malattia grave?
È possibile che un linfoma non venga rilevato in un emocromo?
Quando è necessario consultare un medico per linfonodi gonfi?
Autore
Dr. Roberto Gindro
DivulgatoreLaurea in Farmacia con lode, PhD in Scienza delle sostanze bioattive.
Fondatore del sito, si occupa ad oggi della supervisione editoriale e scientifica.