Introduzione
La coronarografia è un esame invasivo, di tipo radiologico, che sfrutta i raggi X per esaminare i vasi sanguigni del cuore; viene generalmente prescritto per rilevare un’eventuale restrizione del flusso sanguigno diretto al cuore.
Fa parte di un gruppo di procedure conosciute come cateterizzazioni cardiache, che sfruttano l’impiego di un catetere flessibile (assimilabile a una sorta di tubicino) che viene inserito in un vaso periferico, per esempio da una gamba, e poi guidato dal medico specialista fino al cuore.
L’esame prevede l’iniezione di un mezzo di contrasto direttamente nelle coronarie (i vasi che provvedono alla vascolarizzazione del cuore), con lo scopo di migliorare la qualità delle immagini catturate e lo studio del paziente.
La durata della coronarografia è pari a circa 30-40 minuti, fino a tre ore nel caso di necessità di angioplastica.
Questa indagine può essere eseguita con due finalità:
- Diagnostica: con il mezzo di contrasto e l’emissione di radiazioni ionizzanti (raggi X), è possibile studiare il circolo coronarico, con l’obiettivo di individuare anomalie anatomiche, oppure ostruzioni, che potrebbero essere alla base di una patologia cardiaca di tipo ischemico.
- Terapeutica: attraverso l’utilizzo di opportuni cateteri e stent, è possibile provvedere alla disostruzione delle coronarie occluse, con l’obiettivo di ripristinare una corretta perfusione del cuore. Questa tecnica viene definita angioplastica.
Sebbene la diagnostica per immagini negli ultimi anni abbia fatto notevoli progressi, soprattutto a favore di indagini non invasive e scevre da complicazioni, in campo cardiologico la coronarografia resta l’indagine di riferimento per lo studio dell’anatomia coronarica e dei difetti di perfusione cardiaca.
La diffusione sempre più ampia di questo esame ha favorito inoltre una maggiore competenza nell’esecuzione e pertanto, pur restando una procedura invasiva, nei grandi centri il rischio di complicanze è minimo, a fronte di vantaggi sicuramente notevoli.
La coronarografia è un test particolarmente rilevante nell’ambito della diagnosi di eventuali disturbi coronarici, anche se purtroppo non è scevro da rischi, ossia possibili complicazioni legati a
- condizioni concomitanti del paziente,
- abilità e competenze dell’operatore.
Le possibili complicazioni variano ampiamente in termini di gravità, da problemi minori con sequele a breve termine a situazioni potenzialmente letali in grado di causare danni irreversibili; fortunatamente i rischi associati, cardiaci e non, sono diminuiti in modo significativo negli ultimi anni, grazie all’aumento dell’esperienza del personale sanitario e del miglioramento tecnologico della strumentazione.
Non esistono controindicazioni assolute all’esecuzione dell’esame, che in ogni caso va valutato nell’ottica del rapporto rischio-beneficio di ogni singolo paziente; poiché le complicanze più importanti si verificano in meno del 2% della popolazione, con una mortalità inferiore allo 0,08%, sono relativamente pochi i pazienti che non possono essere studiati in modo sicuro da mani esperte.
Da un punto di vista generale, e prima di approfondire nel dettaglio, possiamo dire che:
- La coronarografia è un esame utile per individuare stenosi ed ostruzioni del circolo coronarico ed eventualmente è possibile dilatare le arterie con opportuni cateteri e stent (angioplastica).
- È un esame invasivo (con un catetere si raggiungono le coronarie a partire da un’arteria periferica).
- Usa raggi X e mezzo di contrasto.
- Viene eseguito quando indagini di primo livello indicano la presenza di una patologia cardiaca ischemica.
- È necessario il digiuno da almeno 8 ore.
- Deve essere eseguito in luogo sterile da un’equipe specializzata.
- Non si esegue l’anestesia generale (il paziente è sveglio durante la procedura).
- Dura 30-40 minuti.
- Gli accessi vascolari più usati sono il radiale, dal polso (più vantaggi) e il femorale, dall’inguine.
- Ci possono essere complicanze, anche gravi, ma sono rare e alcune più frequenti nell’angioplastica.
- Non è doloroso, ma può essere avvertita una sensazione di bruciore o formicolio durante la procedura.
- Non residuano cicatrici.
- In assenza di particolari patologie, è sufficiente un riposo a letto di 8-12 ore dopo la procedura.
- In caso di angioplastica, la degenza è più lunga.
- Si consiglia l’assunzione di molti liquidi, per favorire l’eliminazione del mezzo di contrasto.
Patologia delle coronarie
A causa dell’esposizione a diversi fattori (come età avanzata, fumo, ipertensione, dislipidemia), è possibile che il colesterolo si depositi nelle pareti delle coronarie, organizzandosi a formare delle placche (aterosclerosi), alla base del restringimento (stenosi) del lume delle coronarie. Questo determina la riduzione del flusso di sangue alle cellule cardiache (miocardiociti), determinando:
- una sofferenza delle cellule cardiache (ischemia), quando si ha una riduzione notevole, ma transitoria del flusso;
- la morte dei miocardiociti (infarto), quando l’ostruzione del flusso è completa e persistente.
La sofferenza ischemica si manifesta clinicamente con l’angina, ovvero
- il dolore toracico, retrosternale, costrittivo, opprimente,
- spesso irradiato al braccio sinistro, al collo, alla mandibola
- che insorge dopo uno sforzo fisico più o meno intenso, o uno stress emotivo (angina stabile), oppure a riposo (angina instabile)
- che regredisce prontamente con il riposo o con l’assunzione di farmaci vasodilatatori (nitrati, di norma sotto forma di Carvasin®).
L’infarto si presenta con una sintomatologia simile, ma il dolore è persistente e non regredisce.
Quando si esegue la coronarografia
L’obiettivo principale della coronarografia è quello di individuare ed eventualmente trattare, stenosi cardiache clinicamente significative (ostruiscono il lume vascolare per più del 70% e nel caso del tronco comune più del 50%), responsabili della comparsa della sintomatologia ischemica.
Trattandosi di un esame invasivo, non si esegue in maniera sistematica in tutti i pazienti, ma prima il medico dovrà studiare il paziente,
- con la sua storia clinica,
- i fattori di rischio per malattia coronarica a cui è esposto,
- le comorbilità (altre malattie di cui soffre)
e porre sul piatto della bilancia il rischio di complicanze legate alla procedura ed i benefici che ne trarrebbe.
La coronarografia può essere eseguita
- “d’elezione” (ovvero programmata, senza alcuna urgenza),
- urgente, da eseguire in tempi brevi, in genere entro 2 ore dalla comparsa della sintomatologia.
Le indicazioni più importanti comprendono:
- Angina stabile: Trattandosi di un esame invasivo, la coronarografia viene programmata solo dopo l’esecuzione di altre indagini di primo livello (elettrocardiogramma, ecocardiogramma, test da sforzo) e più raramente,indagini di secondo livello (angio-TC, scintigrafia miocardica di perfusione).
- Angina instabile: Dopo le indagini di base (ECG, ecocardiografia,troponina), si programma una test da sforzo a breve termine e, se positivo si programma una coronarografia. Invece nei pazienti emodinamicamente instabili, con aritmie maligne e con sintomatologia che non regredisce con l’appropriata terapia, la coronarografia deve essere eseguita in maniera urgente.
- Infarto acuto del miocardio: In questo caso l’esecuzione della coronarografia è obbligatoria e generalmente più utile quando eseguita nelle prime due ore dalla comparsa della sintomatologia, al fine di rivascolarizzare subito le aree cardiache ipoperfuse, per evitare un danno cardiaco molto esteso.
- Cardiomiopatia dilatativa.
- Prima di un intervento chirurgico cardiaco (per esempio sostituzione valvolare):
- nelle donne con età superiore ai 55 anni,
- negli uomini con età superiore ai 45 anni,
- in tutti i soggetti, indipendentemente dall’età, che hanno numerosi fattori di rischio cardiaco, che lasciano sospettare la presenza di stenosi coronariche.
- Morte cardiaca resuscitata (che ha richiesto l’esecuzione della rianimazione cardiopolmonare), in un paziente con malattia cardiaca non nota.
Coronarografia d’elezione | Coronarografia urgente |
Angina stabile refrattaria alla terapia
Test da sforzo positivo Cardiomiopatia dilatativa Prima di un intervento cardiochirurgico |
Angina instabile con criteri di alto rischio
Infarto acuto del miocardio Morte cardiaca improvvisa resuscitata |
Controindicazioni
Non ci sono controindicazioni assolute all’esecuzione di questo esame, ma possiamo invece individuare controindicazioni relative:
- allergia al mezzo di contrasto,
- insufficienza renale,
- ipertensione (pressione alta) severa non controllata,
- anemia severa,
- aritmie cardiache gravi,
- sanguinamento intestinale attivo,
- patologie della coagulazione,
- squilibri elettrolitici.
Nessuno di questi fattori controindica l’esecuzione dell’esame in maniera assoluta, ma sarà necessario prendere dei provvedimenti prima, durante e dopo la procedura, per esempio:
- somministrazione di farmaci per stabilizzare il paziente nell’ipertensione, aritmie, squilibri elettrolitici,
- appropriata preparazione prima della procedura (cortisone per evitare le allergie al mezzo di contrasto, diuretici e idratazione per l’insufficienza renale).
Inoltre la presenza di uno o più di questi fattori aumenta considerevolmente il rischio di complicanze connesse alla procedura.
Preparazione alla procedura
- Ottenimento del consenso dal paziente, che deve essere informato dei rischi possibili connessi alla procedura.
- Esecuzione di un prelievo ematico, per valutare lo stato di salute generale del paziente.
- Raccolta di informazioni relative ai farmaci assunti abitualmente dal paziente (con particolare attenzione per l’insulina e gli anticoagulanti orali, come Coumadin), che andranno sospesi prima della procedura.
- Valutazione della necessità di eseguire una preparazione anti-allergica con cortisone (per allergia nota o anche solo possibile al mezzo di contrasto), o la preparazione per l’insufficienza renale (per evitare una nefropatia da mezzo di contrasto).
- Tricotomia (rimozione dei peli) regionale, previa disinfezione, della regione attraverso cui si introdurrà il catetere.
- Digiuno per almeno 8 ore.
Esecuzione della coronarografia
Solitamente la coronarografia ha una durata di circa 30-40 minuti.
L’esame non può essere eseguito in regime ambulatoriale, ma richiede invece un ambiente sterile e un’equipe specializzata, che comprenda
- radiologo interventista,
- emodinamista,
- infermiere qualificato.
Per tutta la durata della procedura il paziente è sveglio, mai nei pazienti agitati è possibile somministrare un ansiolitico (non si esegue invece l’anestesia totale).
L’indagine prevede l’uso di cateteri, di spessore minimo (circa 2 mm, alcuni dello stesso spessore di un capello); questo viene inserito in un’arteria periferica, pungendola con un ago leggermente più spesso rispetto a quello usato per un comune prelievo di sangue. Le arterie che possono essere utilizzate sono:
- arteria femorale (a livello inguinale),
- arteria radiale (a livello del polso),
- arteria brachiale (nella piega del gomito),
- arteria ascellare (a livello dell’ascella).
In passato l’unico approccio possibile, prevedeva l’ingresso attraverso l’arteria femorale, oggi si preferisce l’ingresso attraverso le arterie degli arti superiori, in particolare, l’accesso prediletto è il radiale, utilizzabile anche nel caso in cui si debba eseguire l’angioplastica.
Vantaggi | Svantaggi | |
Accesso radiale | Minor dolore dopo la procedura
Rapida mobilizzazione dopo la procedura Minor rischio di emorragia Vasi collaterali che suppliscono un’eventuale lesione della radiale |
Spasmo arterioso
Maggiore difficoltà tecnica |
Accesso femorale | Minore difficoltà tecnica
Possibilità di usare cateteri più grandi |
Dolore dopo la procedura
Mobilizzazione tardiva dopo la procedura Maggior rischio di emorragia Assenza di vasi collaterali che suppliscono un’eventuale lesione della femorale |
Individuato l’accesso arterioso si procede alla disinfezione della regione e, se non è stata eseguita prima, si esegue la tricotomia (depilazione). Punta l’arteria, vi si introduce una guida (un catetere di calibro maggiore), entro il quale si inserisce un catetere sottile, flessibile, con la punta arrotondata (pig-tail).
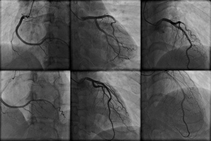
Tutta la procedura è guidata dalle radiazioni ionizzanti (il paziente è disteso su un lettino che emette raggi X), che restituiscono un’immagine (come una semplice radiografia) proiettata su uno schermo, in modo che il radiologo che esegue la procedura possa orientarsi e sospingere il catetere fino a raggiungere la radice dell’aorta. Giunti in corrispondenza dell’ostio coronarico, si inietta il mezzo di contrasto, prima nella coronaria sinistra e successivamente nella coronaria destra.

iStock.com/kalus
Con il mezzo di contrasto sarà possibile visualizzare il circolo coronarico, individuando:
- anomalie nel decorso,
- alterazioni anatomiche,
- aree stenotiche, visibili come aree in cui si ha una riduzione del flusso del mezzo di contrasto,
- aree ostruite, visibili come un arresto della progressione del mezzo di contrasto.
Una volta ultimata la procedura, in assenza di anomalie rilevanti, si sfila il catetere e si provvede al bendaggio compressivo dell’arteria, nel punto di accesso, per ridurre il rischio emorragico. Nel caso dell’approccio radiale, è possibile applicare uno specifico braccialetto che esercita una pressione continua, da allargare gradualmente nel corso delle 24 ore successive alla procedura.
Angioplastica
Qualora dovessero essere individuate aree stenotiche o occluse, si procede con la tappa terapeutica (l’angioplastica).
Il catetere viene ritirato e, attraverso la guida precedentemente inserita, viene introdotto un catetere di calibro maggiore, con una sorta di cuffia all’estremità (come un palloncino sgonfio). Questo, sempre sotto guida radiologica, viene spinto fino a livello dell’ostruzione, dove si procede a gonfiare il palloncino. La pressione esercitata dal palloncino gonfio permette di dilatare il lume e liberare l’arteria dall’ostruzione.
L’angioplastica può essere eseguita nella gran parte dei casi, con tassi di successo a breve termine del 95-98% dei pazienti, tuttavia nel 30-45% dei casi si osserva una recidiva della stenosi nell’arco di 6 mesi. Per ovviare a questo rischio le più recenti tecniche prevedono l’inserimento di stent (strutture cilindriche con l’obiettivo di mantenere pervia l’arteria) e di stent medicati (che rilasciano farmaci per evitare la riendotelizzazione), con i quali il tasso di ristenosi scende al 20-30%. In alcuni casi con malattia coronarica estesa non è possibile eseguire l’angioplastica, ma si deve eseguire un intervento cardiochirurgico (by-pass coronarico).
La coronarografia fa male?
La coronarografia non è un esame doloroso, ma durante la procedura è possibile avvertire una sensazione di formicolio interno lungo il decorso del catetere (la sensazione si muove con l’avanzamento del catetere), o una sensazione di bruciore, ma non di dolore.
È possibile invece che nella fase post-procedurale possa essere avvertito fastidio, o anche dolore, nella sede della puntura arteriosa, ma questo è leggero e solitamente sopportabile anche senza la necessità di analgesici (come dopo un normale prelievo, o un vaccino) e non dà impotenza funzionale dell’arto.
Al termine della procedura non c’è rischio di comparsa di cicatrice, poiché non è prevista alcuna incisione cutanea che richieda l’uso successivo di punti di sutura.
Recupero
Ultimata la procedura il paziente dovrà rimanere a riposo a letto per almeno 8-12 ore, dopodiché, in assenza di particolari patologie, potrà essere dimesso; nel caso in cui dovesse essere eseguita l’angioplastica, la degenza sarà prolungata.
Nelle ore successive è consigliabile l’assunzione di molti liquidi, per favorire l’eliminazione del mezzo di contrasto e in base alle condizioni del paziente, sarà indicata l’assunzione di farmaci (antiaggreganti, antipertensivi, diuretici…).
Rischi
Complessivamente le complicanze possono essere gravi e fatali, ma sono di fatto rare e la possibilità che si verifichino è legata soprattutto a:
- condizioni cliniche del paziente (il paziente in condizioni critiche è ovviamente legato a maggiori rischi),
- patologie concomitanti,
- esperienza dell’equipe che esegue la procedura (quante più procedure giornaliere vengono eseguite, maggiore è la competenza dell’equipe e minore è la possibilità che si verifichino complicanze).
Tra le principali complicazioni che possono insorgere ricordiamo:
- Complicanze legate alla puntura del vaso (nel complesso sono molto rare, 1% dei casi, e possono insorgere sia al momento della procedura, che a distanza di ore o giorni):
- ematomi,
- pseudoaneurismi (dilatazione dell’arteria punta),
- fistole artero-venose (comunicazioni anomale tra l’arteria punta e la vena vicina ad essa),
- infezioni (legate ad un’inappropriata disinfezione della cute),
- occlusione del vaso, che può essere responsabile di un ridotto apporto vascolare alla mano o alla gamba, a seconda dell’accesso.
- Complicanze legate al cateterismo (anche queste complicanze sono rare e la possibilità che si verifichino è maggiore nei pazienti con condizioni cliniche severe, o con patologie concomitanti):
- scompenso cardiaco,
- ischemia cerebrale, ictus, o emorragia cerebrale,
- infarto del miocardio,
- dissezione coronarica, o dell’aorta (lesione della parete vascolare, con infiltrazione del sangue nella parete, a formare un secondo falso lume intraparietale),
- aritmie cardiache,
- abbassamento della pressione arteriosa e della frequenza cardiaca.
- Complicanze legate al mezzo di contrasto:
- reazioni allergiche benigne relativamente frequenti come arrossamento cutaneo, prurito, eruzioni cutanee,
- shock anafilattico, condizione estremamente rara (0.15-0.7% dei casi) e comunque prevenibile con l’appropriata preparazione pre-procedurale,
- nefrotossicità (danno renale) da mezzo di contrasto (rara), prevenibile con una buona idratazione.
Complicanze dell’angioplastica
In caso di angioplastica sono possibili anche specifiche complicazioni:
- aritmie cardiache gravi, anche fatali,
- occlusione del vaso trattato, con successivo infarto del miocardio,
- embolizzazione di colesterolo dalla placca trattata a vasi di calibro minore,
- perforazione coronarica.
Anche queste complicanze sono rare (1-4% dei casi); per alcune complicanze (dissezione aortica o coronarica, infarto del miocardio, perforazione coronarica), può essere necessario ricorrere a un intervento cardiochirurgico urgente di riparazione, ma complessivamente la mortalità è bassa (0.5-2%).
Autore
Dr.ssa Mariangela Caporusso
Medico Chirurgo - EndocrinologaIscritta all'Ordine dei Medici Chirurghi e degli Odontoiatri della Provincia di Barletta-Andria-Trani n. 2057