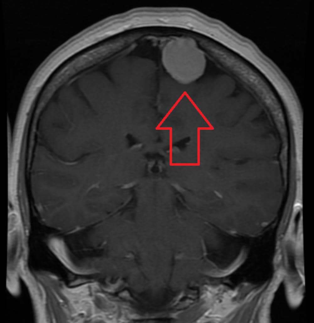
Cos’è il meningioma?
Una diagnosi di tumore al cervello è spesso un fulmine a ciel sereno, un colpo capace di causare una comprensibile ansia e preoccupazione in chiunque, ma in pochi sanno che il meningioma è il tumore cerebrale più comune, rendendo conto di circa un caso su tre, e nella maggior parte dei casi è benigno.
Di norma un meningioma cresce lentamente, spesso senza segni e sintomi significativi ed anche per questo non sempre richiedono un trattamento immediato, ma semplicemente un periodico controllo nel tempo.
Alcuni pazienti possono sviluppare più di un meningioma contemporaneamente.

By James Heilman, MD – Own work, CC BY-SA 4.0, https://commons.wikimedia.org/w/index.php?curid=47816877
Cosa significa che è benigno?
Dal punto di vista del paziente la principale caratteristica che lo rende benigno nella maggior parte dei casi è il fatto che non tende a diffondersi ad altre parti dell’organismo in forma di metastasi.
Nonostante questo può andare incontro ad un progressivo aumento di volume (per definizione un tumore consiste in cellule fuori controllo, che proliferano senza più limiti), diventando in alcuni casi anche sorprendentemente grandi.
Meningioma ed aspettativa di vita
Sebbene di solito siano benigni, i meningiomi potrebbero raggiungere dimensioni tali da diventare pericolosi per la vita; la sopravvivenza in caso di meningioma è mediamente (fonte Cleveland Clinic) pari a 8 pazienti su 10 a 10 di distanza, che scende a circa 5.7 pazienti su 10 in caso di meningioma maligno.
Negli adulti l’età del paziente al momento della diagnosi è uno dei fattori più rilevanti per stimare la prognosi, più giovane è il soggetto, migliore è l’aspettativa di vita stimata; il discorso è simile per i tumori che sia possibile rimuovere chirurgicamente (fonte AANS).
Dove si forma?
Sebbene dal punto di vista della localizzazione non sia propriamente un tumore al cervello, è incluso in questa categoria perché in grado di causare sintomi sostanzialmente sovrapponibili alle forme cancerose che colpiscono il tessuto cerebrale.
Questi tumori nascono a partire dalle cellule delle meningi, tre strati che fungono da rivestimento del cervello e del midollo spinale.

iStock.com/VectorMine
I sintomi del meningioma
I sintomi caratteristici del meningioma sono comparabili a quelli dei tumori al cervello propriamente detti a causa dell’effetto di compressione sul tessuto cerebrale, non potendo espandersi in altra direzione a causa della presenza dell’insormontabile ostacolo posto dalle ossa del cranio.
Se nelle prime fasi il paziente può essere del tutto asintomatico (ed inconsapevole della presenza delle cellule mutate), in seguito può sviluppare disturbi variabili in base a
- localizzazione, da cui dipenderà la zona di cervello che andrà a subire la compressione,
- dimensione, da cui dipenderà l’entità della compressione esercitata.
Generalmente segni e sintomi di un meningioma compaiono e si sviluppano gradualmente, aumentando di intensità proporzionalmente al volume della massa; fra i disturbi più comuni si rilevano
- mal di testa (spesso peggiorano al mattino)
- disturbi della visione (visione offuscata o doppia)
- convulsioni.
Meningiomi particolarmente grandi possono bloccare il flusso del liquido cerebrospinale (fluito che circonda il sistema nervoso centrale, con funzione nutritiva e di protezione), con il possibile sviluppo di idrocefalo che a sua volta può causare andatura e memoria.
In altri casi ad essere compromessi possono essere il senso dell’olfatto, della vista, dell’udito o la funzione dell’ipofisi, oppure è possibile sviluppare debolezza degli arti, difficoltà di linguaggio, cambiamenti della personalità e del comportamento.
Perché si forma?
Come per la quasi totalità dei tumori non esiste una causa certa di formazione del meningioma, ma è opinione diffusa che possa essere il risultato di combinazioni variabili di elementi
- genetici
- ormonali
- ambientali.
Sono tuttavia stati individuati alcuni fattori di rischio associati ad un aumento del rischio di sviluppo:
- esposizione a radiazioni (anche in forma di radioterapia)
- sesso femminile (presumibilmente a causa della diversa produzione ormonale)
- neuofibromatosi di tipo 2, una malattia genetica
- età superiore ai 65 anni
- obesità.
Ad oggi non si ritiene che l’uso del cellulare sia causa di un aumento del rischio.
Alcuni meningiomi esprimono recettori per gli ormoni sessuali (progesterone, estrogeni e androgeni) sulla superficie delle membrane cellulari, questo potrebbe rendere conto di:
- maggior diffusione nel sesso femminile
- aumento della dimensione durante la fase luteale del ciclo mestruale
- aumento della dimensione durante la gravidanza.
Diagnosi
Quando asintomatico la diagnosi può avvenire a seguito della richiesta di esami prescritti con altri scopi, come un trauma cranico.
È purtroppo possibile che i sintomi di un meningioma possano essere scambiati, almeno inizialmente, per una normale conseguenza dell’età, ritardando così la diagnosi.
Tipicamente la diagnosi viene posta grazie all’esecuzione di esami avanzati di imaging, quali TAC e risonanza magnetica.
In genere viene quindi operata una classificazione del tumore:
- Grado I, (meningioma benigno), cresce lentamente
- Grado II (meningioma atipico), cresce più rapidamente
- Grado III (meningioma anaplastico/maligno), cresce e si diffonde rapidamente
Quando è necessario intervenire?
Il trattamento del meningioma è essenzialmente chirurgico, tuttavia non è raro che il medico specialista (ad esempio un oncologo od un neurochirurgo) opti per una vigile attesa, soprattutto in caso di tumore di piccola dimensione e privo di sintomi evidenti.
La tecnica utilizzata per operare, così come la complessità dell’intervento, è variabile a seconda della zona interessata dalla crescita, ma è in genere necessaria una craniotomia, procedura chirurgica che consente l’accesso all’interno del cranio.
In alcuni pazienti è possibile optare per la radioterapia, ad esempio in caso di recidive o di tumori che non sia possibile rimuovere interamente.
La chemioterapia è usata raramente.
Un meningioma operato può tornare?
Da un punto di vista medico questa eventualità prende il nome di recidiva e nel caso dei meningiomi è poco probabile, seppure possibile; le cliniche Hopkins stimano questo rischio come pari a al 10% circa a dieci anni di distanza dall’intervento.
È possibile prevenire la formazione di un meningioma?
Purtroppo non esistono reali strategie preventive, se non agendo proattivamente sull’unico fattore di rischio modificabile, ovvero l’obesità.
Nei pazienti che presentino sindromi genetiche correlate al meningioma, come la neurofibromatosi di tipo 2, è possibile infine valutare con lo specialista un periodico controllo.
Fonti e bibliografia
- Johh Hopkins Medicine
- Mayo Clinic
- Cleveland Clinic
- Meningioma (Asayel A. Alruwaili; Orlando De Jesus)
Autore
Dr. Roberto Gindro
DivulgatoreLaurea in Farmacia con lode, PhD in Scienza delle sostanze bioattive.
Fondatore del sito, si occupa ad oggi della supervisione editoriale e scientifica.