Introduzione
Il morbo di Kaposi (o sarcoma di K.) è un tumore raro di origine vascolare, caratterizzato dalla proliferazione tumorale delle cellule endoteliali dei vasi (cellule che ricoprono l’interno dei vasi sanguigni o linfatici); la malattia è inoltre multifocale, si presenta cioè contemporaneamente in diverse aree cutanee ed extra-cutanee.
Il tumore è causato dall’infezione da herpesvirus-8 umano (HHV-8), ma è importante sottolineare che la maggior parte delle persone infette non svilupperà mai il morbo; la trasformazione maligna è invece probabile per soggetti con sistema immunitario indebolito, per esempio a causa di:
- AIDS,
- farmaci immunosoppressivi (in grado cioè di ridurre le difese immunitarie).
Le manifestazioni sulla cute consistono in lesioni di color rosso-violaceo sotto forma di
- macule (lesioni piane),
- papule (lesioni rilevate),
- placche e noduli (derivanti dalla confluenza delle papule);
le lesioni solo raramente sono associate ad altri sintomi (come dolore o prurito).
Analoghe lesioni possono interessare le mucose e gli organi interni (ad esempio nel tratto digerente o nei polmoni), soprattutto nei paziente sieropositivi (affetti cioè dall’HIV). In questi casi i sintomi variano a seconda dell’organo colpito:
- emorragie nel tratto digestivo (e conseguente anemia),
- difficoltà respiratorie in caso d’interessamento polmonare,
- …
Sulla base delle caratteristiche cliniche ed epidemiologiche si distinguono quattro forme:
- classica,
- epidemica,
- africana
- e iatrogena
con prognosi variabile: il decorso della malattia può essere lento e progressivo (come nella forma mediterranea) oppure molto rapido (come nella forma endemica florida o in alcune forme AIDS-correlate). Le complicazioni si verificano quando c’è coinvolgimento degli organi interni.
Il trattamento dipende dalla localizzazione delle lesioni e dalla loro gravità; le principali opzioni terapeutiche consistono in
- radioterapia,
- chirurgia,
- chemioterapia
- e terapia biologica.
Foto e immagini

iStock.com/watanyou

By Unknown – National Cancer Institute, AV-8500-3620, Public Domain, Link

By Michael Sand, Daniel Sand, Christina Thrandorf, Volker Paech, Peter Altmeyer, Falk G Bechara – https://www.ncbi.nlm.nih.gov/pmc/articles/PMC2903548/, CC BY 2.5, Link

Sarcoma di Kaposi, prima e dopo trattamento con interferonre (1987).
Photo Credit: https://visualsonline.cancer.gov/details.cfm?imageid=2266 & https://visualsonline.cancer.gov/details.cfm?imageid=2265
Causa
La letteratura disponibile dimostra che la causa del morbo di Kaposi risiede nell’infezione da parte di un virus della famiglia degli herpesvirus, l’herpes virus umano 8 (HHV-8), infatti sequenze di DNA di HHV-8 sono state riscontrate con la tecnica della reazione a catena della polimerasi (PCR) in oltre il 90% delle lesioni del morbo di Kaposi. Il virus risulta invece assente o presente a bassa carica nei tessuti sani degli stessi pazienti.
Inoltre l’HHV-8 può essere individuato nelle cellule mononucleate circolanti dei pazienti affetti.
L’infezione da parte del virus non significa sviluppo certo del sarcoma di Kaposi, che al contrario è in genere limitato a pazienti con sistema immunitario indebolito da malattie (tipicamente AIDS, ma non solo) o da farmaci, per esempio somministrati a seguito di un trapianto d’organo.
La quantificazione della carica virale ematica del virus (viremia) è correlata alla gravità della malattia, specialmente nei soggetti ad alto rischio, tanto che scompare nei pazienti che rispondono efficacemente al trattamento.
Trasmissione e contagiosità
Il virus HHV-8 si trova nella saliva, mentre è assente nello sperma: si trasmette prevalentemente per via sessuale, in particolare in corso di rapporti oro-genitali e oro-anali.
È stata dimostrata anche una trasmissione intra-familiare orizzontale (sempre attraverso la saliva) e verticale per via materno-fetale.
Classificazione
In base alle specifiche caratteristiche cliniche (sintomi) ed epidemiologiche (soggetti in cui è più diffuso) è possibile individuare quattro forme del morbo di Kaposi.
- classica,
- epidemica,
- endemica o africana
- e iatrogena
La forma classica o mediterranea del sarcoma di Kaposi si verifica in individui adulti, soprattutto di sesso maschile (rapporto maschi : femmine = 3 : 1) e di età compresa tra i 50 e gli 80 anni, che vivono nei paesi del mediterraneo (Grecia, Italia, Albania), in Europa orientale (persone di discendenza ebrea) e settentrionale (Norvegia, Svezia). L’elevata in incidenza della forma classica di morbo di Kaposi in queste aree geografiche fa supporre la presenza di fattori genetici di predisposizione che interagiscono con determinati fattori ambientali.
Il morbo di Kaposi epidemico si verifica in persone adulte (età media 30-40 anni) con infezione da HIV, tipicamente in fase avanzata, ovvero quando si configura l’AIDS (sindrome da immunodeficienza acquisita).
Il sarcoma di Kaposi endemico è anche definito “africano” perché si verifica frequentemente nei paesi dell’Africa equatoriale o orientale (Uganda, Zambia), dove rappresenta il 10% di tutte le neoplasie maligne. Ha una netta prevalenza nei soggetti di sesso maschile, con un rapporto maschi : femmine di 10 : 1. Quando colpisce soggetti di sesso femminile, tuttavia, il decorso risulta molto più aggressivo.
Il morbo di Kaposi iatrogeno insorge in persone immunodepresse per cause farmacologiche:
- pazienti affetti da malattie autoimmuni,
- neoplasie maligne
- o pazienti sottoposti a trapianto d’organo che devono eseguire per lunghi periodi terapie immunosoppressive (nei trapiantati la malattia di Kaposi è fino a 500 volte più diffusa rispetto alla popolazione generale).
Sintomi
Forma classica (o mediterranea)
Questa forma del sarcoma di Kaposi si manifesta con lesioni cutanee piane (macule) tondeggianti o ovalari, rosso-violacee, asintomatiche, localizzate alle estremità degli arti inferiori (caviglie, piedi) e/o superiori (mani, polsi).
La comparsa avviene prima su unico lato del corpo, per poi svilupparsi simmetricamente anche all’altro lato; le macule possono evolvere ispessendosi e diventando papule (singole lesioni cutanee rilevate), noduli o placche (derivanti dalla confluenza delle papule).
Le placche hanno un tipico aspetto angiomatoso, ovvero un colore rosso-vino, contorni netti, forma irregolare e superficie liscia. Anche i noduli hanno queste caratteristiche e quando hanno dimensioni notevoli possono andare incontro ad ulcerazione.
Nella forma mediterranea di morbo di Kaposi, la crescita delle lesioni è molto lenta.
Forma epidemica
Talvolta il morbo di Kaposi rappresenta la prima espressione dell’AIDS, la sindrome da immunodeficienza acquisita conseguente all’infezione da HIV.
Questa forma è caratterizzata da una grande variabilità di manifestazioni cliniche, sono possibili
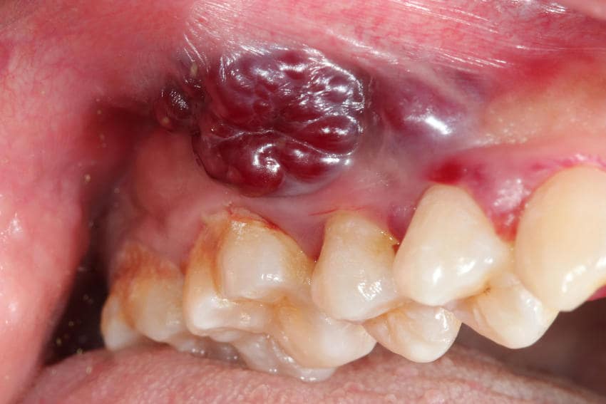
- lesioni angiomatose (di colore rosso-vino) singole oppure multiple (forme floride) localizzate non solo agli arti superiori e inferiori (come nella forma mediterranea), ma diffusamente al tronco, volto, arti, mucosa orale, genitale e congiuntivale;
- la presenza di lesioni al palato puro e alla punta del naso è caratteristica del morbo di Kaposi epidemico (la presenza di lesioni nodulari alla mucosa orale e congiuntivale è indicativa di infezione da HIV avanzata).
L’aspetto delle lesioni non è sempre tipico, essendo possibili lesioni
- ipercheratosiche (spesse con superficie ruvida),
- ecchimotiche (tipo ematomi con stravasi di sangue in periferia)
- ed edematose (gonfie).
Nella malattia di Kaposi epidemica, più che nelle altre forme, la proliferazione delle cellule endoteliali non si limita alla cute e alle mucose, ma sono possibili localizzazioni a carico di organi interni:
- linfonodi,
- fegato,
- milza,
- polmoni,
- apparato gastrointestinale.
Queste localizzazioni sono diagnosticabili come sarcoma di Kaposi solo mediante prelievo di un campione (biopsia) e successivo esame istologico. Una radiografia del torace e nei casi dubbi una TAC dovrebbe quindi essere eseguita di prassi a tutti i pazienti con morbo di Kaposi epidemico. Le lesioni localizzate al tubo digerente solo raramente determinano importanti sanguinamenti, pertanto, in assenza di segni clinici, non è necessario eseguirne la ricerca sistematica.
Forma endemica (o africana)
Questo tipo di morbo di Kaposi si può presentare:
- nella forma nodulare con lesioni tipo noduli emorragici che hanno un decorso lento e localizzazione agli arti inferiori;
- nella forma florida con voluminose lesioni vegetanti diffuse che hanno un decorso rapido;
- nella forma infiltrante associata ad intenso edema distrettuale;
- nella forma linfoadenopatica in cui la cute è risparmiata ma sono colpiti i linfonodi: questa forma interessa i bambini e può essere mortale.
Forma iatrogena
In questi casi la malattia può essere disseminata con papule e noduli che interessano non solo la cute, ma anche gli organi interni; tuttavia, quando l’immunodepressione viene ridotta, la malattia tende alla risoluzione.
Diffusione e sopravvivenza
Il sarcoma di Kaposi è un tumore raro, che in Italia rende conto dello 0,2% circa di tutti i tumori nel sesso maschile e dello 0,1% nel sesso femminile.
La sopravvivenza è strettamente dipendente dalla forma contratta, ma da un punto di vista generale statistiche americane stimano un tasso di sopravvivenza a 5 anni dalla diagnosi pari a circa tre pazienti su quattro.
Diagnosi
La diagnosi si basa sull’esame clinico e sull’esame istologico di una lesione asportata mediante biopsia. L’istologia mette in evidenza la proliferazione di strutture vascolari di forma irregolare disposte nel derma superficiale in associazione con un denso infiltrato infiammatorio di linfociti e plasmacellule.
Il morbo di Kaposi deve essere differenziato, clinicamente e talvolta anche attraverso l’esame istologico, da altre patologie che possono avere manifestazioni cutanee simili:
- granuloma piogenico,
- angiomi,
- angiomatosi bacillare.
Per evidenziare eventuali interessamenti degli organi interni si ricorre ad esami strumentali come:
- radiografia, TC e broncoscopia per valutare la condizione polmonare,
- endoscopia gastrointestinale per l’intestino (recentemente spesso sostituita da esami meno invasivi, che fanno uso di speciali telecamere da deglutire in quanto della dimensione di una compressa).
Cura
La terapia dipende dal tipo di sarcoma di Kaposi, quindi da fattori quali:
- tipo di lesioni,
- estensione,
- localizzazione.
Le lesioni singole possono essere asportate chirurgicamente, distrutte con crioterapia con azoto liquido, o trattate con iniezioni locali di farmaci citotossici.
L’applicazione topica di un gel a base di acido retinoico può far regredire le lesioni piccole e piane, specialmente nella forma epidemica di Kaposi.
La radioterapia viene scelta nel caso di manifestazioni limitate ad aree limitate, così come il ricorso alla chirurgia è preso in considerazione solo nel caso di poche e piccole lesioni.
Nel Kaposi HIV-correlato la terapia antiretrovirale permette di ottenere ottimi risultati.
Quando la malattia ha un decorso rapidamente progressivo, si rende necessario il trattamento chemioterapico e/o con terapia biologica per via sistemica (antracicline, paclitaxel).
Prevenzione
Non esistono misure preventive specifiche, per esempio non esiste un vaccino efficace verso il virus responsabile (HHV8); a livello generale si consiglia quindi di
- preservare l’efficacia del sistema immunitario,
- evitare comportamenti sessuali a rischio (causa prima dell’infezione sia del virus HHV8 che dell’HIV).
Fonti e bibliografia
- Cainelli T., Giannetti A., Rebora A. Manuale di dermatologia medica e chirurgica. McGraw-Hill 4° edizione.
- Braun-Falco O., Plewing G., Wolff H.H., Burgdorf W.H.C. Dermatologia. Edizione italiana a cura di Carlo Gelmetti. Sprienger – Verlag Italia 2002.
- Saurat J, Grosshans E., Laugier P, Lachapelle J. Dermatologia e malattie sessualmente trasmesse. Edizione italiana a cura di Girolomoni G. e Giannetti A. Terza edizione 2006. Masson.
Autore
Dr. Roberto Gindro
DivulgatoreLaurea in Farmacia con lode, PhD in Scienza delle sostanze bioattive.
Fondatore del sito, si occupa ad oggi della supervisione editoriale e scientifica.