Introduzione
Il cancro del cavo orale può formarsi in qualsiasi parte della bocca, ma nella maggior parte dei casi inizia nelle cellule piatte che coprono le superfici della bocca, della lingua e delle labbra.
Chiunque può sviluppare un tumore in bocca, ma il rischio è maggiore in caso di:
- sesso maschile,
- abitudine al fumo,
- consumo abituale di alcolici,
- presenza di HPV,
- precedenti di cancro della testa o del collo.
Anche un’eccessiva esposizione al sole è un fattore di rischio per il tumore del labbro.
Tra i sintomi principali di tumore della bocca ricordiamo:
- macchie rosse o bianche in bocca,
- un’ulcerazione che non guarisce,
- sanguinamento in bocca,
- problemi o dolori con deglutizione.
I tumori orali sono classificati sulla base del tipo di cellula da cui prende avvio; il carcinoma a cellule squamose è la forma più comune (90% dei casi), mentre tra le forme meno comuni si annoverano:
- adenocarcinomi (tumori che si sviluppano all’interno delle ghiandole salivari),
- sarcomi (si innescano da anomalie nelle ossa, cartilagini, muscoli o altri tessuti del corpo),
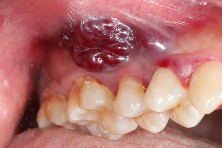
- melanomi maligni orali (quando il cancro inizia nei melanociti, le cellule che producono il pigmento della pelle; appaiono come gonfiori scuri e screziati che spesso sanguinano),
- linfomi (si sviluppano da cellule normalmente presenti nelle ghiandole linfatiche, ma possono anche svilupparsi in bocca).
I test per diagnosticare il cancro orale includono la visita medico-dermatologica, un eventuale esame endoscopio, biopsia e test di imaging.
I trattamenti per il cancro orale possono includere la chirurgia, la radioterapia e la chemioterapia, molto spesso combinati tra loro.

iStock.com/watanyou
Fattori di rischio
- Il fumo è la principale causa di tumori orali. Fumare sigarette, sigari, pipe o fare uso di tabacco da fiuto e da masticare comporta un elevato aumento del rischio. Per i fumatori di sigarette il rischio aumenta più o meno proporzionalmente al numero di sigarette fumate al giorno.Il rischio aumenta ulteriormente se si consumano importanti quantità di alcolici.
- Le persone che sono forti bevitori hanno più probabilità di ammalarsi rispetto alle persone che non bevono alcolici. Il rischio aumenta con la quantità di alcol che una persona beve. Il rischio aumenta ancora di più se si fa uso di tabacco.
- Alcuni HPV virus possono infettare la bocca e la gola. Questi virus sono trasmessi da persona a persona principalmente attraverso il contatto sessuale ed il contagio può predisporre allo sviluppo di tumori.
- Un tumore del labbro può essere causato da un’eccessiva esposizione al sole; l’uso regolare di creme protettive può ridurre il rischio, così come indossare un cappello a tesa larga in grado di filtrare i raggi solari.
- Le persone che hanno avuto in passato il cancro orale sono ad aumentato rischio di svilupparlo nuovamente.
- Dieta: Alcuni studi suggeriscono che mangiare insufficienti quantità di frutta e verdurapossa aumentare la probabilità di ammalarsi di cancro orale.
- Il rischio aumenta con l’età. Il cancro orale si verifica più spesso nelle persone di età superiore ai 40 anni.
- Colpisce gli uomini in percentuale tripla rispetto alle donne, ma questo potrebbe essere legato alla maggior diffusione in questa categoria di alcolici e fumo.
Sintomi
Il tumore in bocca coinvolge di norma le labbra o la lingua; può apparire come un nodulo od un’ulcera che può presentarsi come:
- una profonda ulcerazione con contorni netti,
- pallida, scura o scolorita,
- una formazione indolore in una prima fase, per poi causare una sensazione di bruciore o fastidio quando il tumore è avanzato.
Altri sintomi possono includere:
- difficoltà a masticare,
- sanguinamento in bocca,
- perdita di denti,
- difficoltà nell’applicazione della dentiera,
- presenza di piaghe che possono sanguinare,
- dolore e difficoltà di deglutizione,
- difficoltà a parlare,
- gonfiore dei linfonodi del collo,
- problemi alla lingua,
- mal d’orecchie che non passa,
- intorpidimento del labbro inferiore e del mento,
- perdita di peso.
Il tumore è spesso individuato dal dentista al momento di una pulizia di routine, ma è importante avvertire il medico se si avverte
- un dolore in bocca od alle labbra,
- nodulo nel collo,
- ulcerazione in bocca anche se indolore,
che non passa entro due settimane.
La diagnosi precoce aumenta notevolmente le possibilità di sopravvivenza.
Diffusione e sopravvivenza
Su scala mondiale i tumori del cavo orale insieme a quelli della laringe e della faringe rappresentano il 10% circa di tutte le neoplasie maligne negli uomini e il 4% nelle donne.
La sopravvivenza a 5 anni è pari a circa il 50%; se la diagnosi avviene precocemente, in particolare prima della diffusione di metastasi, la sopravvivenza sale sensibilmente (quasi il 90%), ma purtroppo in molti casi la scoperta avviene in ritardo.
Cura
Le opzioni di trattamento per un tumore orale sono essenzialmente tre:
- chirurgia, con l’obiettivo di rimuovere fisicamente le cellule cancerose insieme ad una piccola porzione dei tessuti circostanti (compresi i linfonodi) a scopo preventivo;
- radioterapia, in cui potenti raggi X ad alta energia vengono utilizzati per colpire le cellule cancerose,
- chemioterapia, fondata sull’utilizzo di farmaci.
Questi trattamenti sono spesso usati in combinazione tra loro, per esempio la chirurgia può essere seguita da un ciclo di radioterapia per aiutare a prevenire il ritorno del cancro.
Oltre a cercare di curare il cancro, il trattamento si concentrerà su importanti funzioni della bocca, come respirare, parlare e mangiare attraverso l’affiancamento con logopedisti; nel caso di approcci chirurgici particolarmente invasivi potrebbe infine essere necessario anche pianificare una ricostruzione che permetta un risultato finale esteticamente soddisfacente.
Prevenzione
Per prevenire il tumore in bocca è consigliabile:
- smettere di fumare,
- effettuare una corretta igiene orale e risolvere eventuali problemi in bocca,
- ridurre sensibilmente il consumo di alcolici.
Fonti e bibliografia
Autore
Dr. Roberto Gindro
DivulgatoreLaurea in Farmacia con lode, PhD in Scienza delle sostanze bioattive.
Fondatore del sito, si occupa ad oggi della supervisione editoriale e scientifica.