Introduzione
Il glioblastoma (noto anche come glioblastoma multiforme o più semplicemente GBM) è il tumore più comune e più aggressivo tra quelli che colpiscono le cellule gliali (che forniscono tra l’altro il supporto alle altre cellule nervose).
Si tratta inoltre del tumore al cervello in assoluto più comune negli adulti, rendendo conto di circa il 40% dei tumori primitivi maligni del sistema nervoso centrale (l’aggettivo primitivo indica che insorge direttamente nel distretto in esame, ovvero il cervello, a differenza dei tumori metastatici che insorgono altrove salvo poi diffondersi nell’organismo mediante metastasi).
Il glioblastoma ha purtroppo prognosi infausta, si tratta di un tumore incurabile con una sopravvivenza mediana di circa 15 mesi (solo il 5,5% dei pazienti sopravvive a cinque anni dalla diagnosi).
Cause
Sebbene siano stati presi in considerazione numerosi possibili fattori di rischio, ad oggi non ne sono stati individuati di davvero rilevanti/determinanti; il GBM, al pari di numerosi altri tumori, è quindi sporadico e difficilmente prevedibile/prevenibile, con l’unica importante eccezione dell’esposizione a radiazioni ionizzanti (ad esempio per ragioni mediche), con un periodo di ritardo che può raggiungere anche i 20 anni.
Piuttosto curiosamente sono emersi come fattori (almeno apparentemente) protettivi i precedenti di allergie e malattie atopiche, così come l’uso di farmaci antinfiammatori a breve termine.
Non ci sono invece prove sostanziali che dimostrino una qualche influenza di fattori legati allo stile di vita (fumo, consumo di alcol, uso di droghe, dieta).
Ad oggi, infine, nessuno studio ha dimostrato un legame con l’uso dei telefoni cellulari (e relative radiazioni elettromagnetiche), sebbene manchino ancora conferme a lungo termine.
Il glioblastoma colpisce soprattutto soggetti adulti, insorgendo principalmente a livello degli emisferi cerebrali (e meno frequentemente al tronco cerebrale o al midollo spinale); al pari di tutti i tumori cerebrali è molto rara una metastatizzazione al di fuori del sistema nervoso centrale.
Sono state descritte numerosi mutazioni genetiche nei pazienti colpiti da glioblastoma, ma è importante sottolineare come il tumore non mostri praticamente mai alcuna familiarità.
Diffusione
Nei Paesi occidentali si contano mediamente 2-3 nuovi casi all’anno su 100 000 abitanti; può manifestarsi a qualsiasi età, ma nella maggior parte dei casi i pazienti sono adulti (con un picco compreso tra i 75 e 84 anni, anche se le fonti talvolta divergono leggermente su questo punto) ed un rapporto maschi/femmine di 1,5:1.
Sintomi
I sintomi del glioblastoma dipendono dalla posizione e dalle dimensioni del tumore e sono in gran parte sovrapponibili a quelli prodotti da tutti gli altri tumori cerebrali (benigni o maligni che siano) a parità di condizioni, perché in gran parte espressione dell’effetto di pressione che la massa esercita sul tessuto circostante.
Il GBM si presenta in genere con sintomi neurologici progressivi, che aumentano nell’arco di giorni o settimane. Il mal di testa è il sintomo più comune seguito da convulsioni, deficit neurologici focali (ovvero localizzati, ad esempio una debolezza/paralisi di metà del corpo, oppure una riduzione della sensibilità) ed altri sintomi associati ad un aumento della pressione intracranica come nausea, vomito, visione offuscata o doppia, difficoltà di linguaggio e stato mentale alterato (ad esempio cambiamenti nella personalità).
Sopravvivenza
Età, stato di salute generale e profilo genetico possono influire sulla prognosi del tumore; purtroppo nonostante tutto il glioblastoma ha prognosi infausta, con una sopravvivenza media a 5 anni dalla diagnosi non superiore a (fonte cancer.org):
- 22% (età 20-44)
- 9% (età 45-54)
- 6% (età 55-64).
Oltre alle possibili complicazioni della chemioterapia e della radioterapia, il tumore stesso è associato a possibili complicazioni, prima fra tutte il rischio di recidiva (ricomparsa del tumore dopo un’apparente guarigione).
Diagnosi
Il sospetto della presenza di un tumore cerebrale nasce in genere durante la visita neurologica, quando potrebbero emergere alterazioni utili anche in una prima definizione della possibile area interessata.
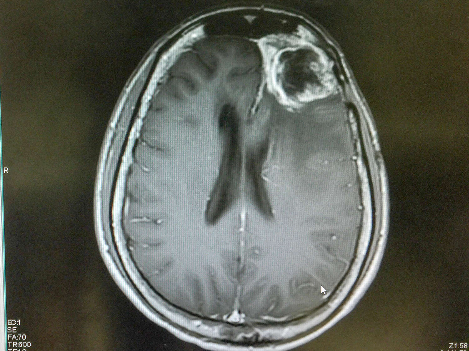
L’esame di elezione per la diagnosi del glioblastoma è la risonanza magnetica con mezzo di contrasto (con un diametro medio del tumore al momento della diagnosi compreso tra 5 e 10 cm), sebbene anche la TAC possa offrire preziose indicazioni.
Quando la posizione lo permette si procede alla biopsia, ovvero al prelievo di un piccolo campione (o dell’intera massa tumorale, a seconda dei casi) per la successiva analisi di laboratorio.

Shutterstock/O_Akira
Cura
La terapia del glioblastoma si basa in genere su una combinazione variabile di chirurgia, chemioterapia e radioterapia.
Obiettivo della chirurgia è la rimozione (resezione) dell’intera massa tumorale, resa complicata dalla delicatezza del tessuto circostante: poiché il GBM tende ad infiltrarsi nelle strutture circostanti, la resezione totale non è sempre possibile, nonostante questa anche un intervento parziale è in genere considerato preferibile alla sola biopsia o a nessun intervento chirurgico.
La resezione chirurgica è inoltre utile anche per la diagnosi e la pianificazione del successivo trattamento.
Con la radioterapia si colpisce il tumore con radiazioni estremamente mirate, mentre la chemioterapia si basa sulla somministrazione di farmaci.
Pseudoprogressione
Il GBM è solitamente associato alla cosiddetta pseudoprogressione, ovvero un apparente peggioramento dei risultati raccolti con la risonanza magnetica nei tre mesi successivi al completamento della chemioradioterapia. È un effetto correlato al trattamento ed è quindi molto importante distinguerlo da una reale progressione della malattia, per evitare una brusca ed inopportuna interruzione del trattamento: la caratteristica chiave che ne consente la distinzione è che la pseudoprogressione è solitamente priva di sintomi (il paziente non mostra un peggioramento, nonostante il reperto della risonanza).
Terapia di supporto
La terapia di supporto comprende tutte le cure utili a fornire sollievo al paziente, alleviando i sintomi e migliorando/recuperando le funzioni neurologiche; tra gli approcci possibili figurano:
- farmaci antiepilettici per prevenire possibili convulsioni,
- cortisone, al fine di ridurre l’edema e l’effetto massa del tumore (che dà in genere immediato sollievo dal mal di testa).
Fonti e bibliografia
- Glioblastoma Multiforme – Tejaswi Kanderi; Vikas Gupta.
- Wikipedia
Autore
Dr. Roberto Gindro
DivulgatoreLaurea in Farmacia con lode, PhD in Scienza delle sostanze bioattive.
Fondatore del sito, si occupa ad oggi della supervisione editoriale e scientifica.